Tr

White Fillings Invisible Restorations

Repair cavities discreetly with invisible fillings. Designed to blend perfectly with your natural teeth, restoring strength without compromising your smile.

0% INTEREST-FREE FINANCE AVAILABLE

About Invisible Fillings

Invisible fillings are a modern, tooth-colored alternative to traditional metal amalgam. Unlike older silver amalgam that contains mercury and can eventually weaken the tooth, these new composite materials restore up to 95% of your tooth’s original strength while remaining completely unnoticeable for a fuller, brighter smile.

Common Smile Concerns We Treat

  • Visible Cavities In Front Teeth
  • Chipped Or Cracked Tooth Edges
  • Food Getting Stuck In Teeth
  • Tooth Sensitivity When Eating
  • Small Gaps Between Teeth
Contact Our Team
Rectangle 4950 Rectangle 4951

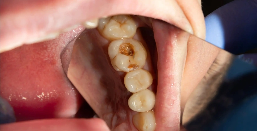
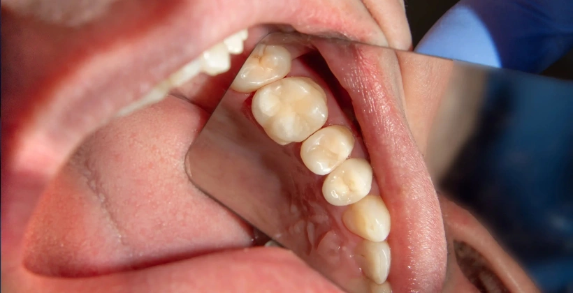
Before and After See the Difference

Before Before Invisible White Fillings
After After Invisible White Fillings
Before Before Invisible White Fillings 1
After After Invisible White Fillings 1

Real Smiles True Filling Stories

I've had a fear of dentists for many years. Joe done my filling so gently and it's the first time in years I've been able to let a dentist use a drill and not be sedated. Joe is an amazing dentist, she really cares and my mother absolutely loves Joe and she has been her favourite dentist for years. The dental nurses/ assistants are so caring too. Highly recommended and thank you Joe and everyone at this practice 🤗

– - Shaz, acton
★ ★ ★ ★ ★

I am not the bravest person when visiting the dentist due to a bad experience when I had my first filling at the age of 17 without anaesthetic. Upon my visit to Perfect Smile I had to have part of my cracked front tooth filled and reconstructed. Kartic put me at ease and explained the dental procedure and was super professional throughout. Can recommend Perfect Smile highly! Thank you

– - Adam Starkey - W3 Handyman, acton
★ ★ ★ ★

Martina Olivieri is kind and considerate to have a dental checkup for my daughter. She have a scan for her teeth to check if the filling is still there and whether there is a decay too. Everything went well.

– Ka Po Wong, Chiswick
★ ★ ★ ★ ★
White curve
Rectangle 4948

Benefits of Invisible Fillings

  • Completely natural look
  • Mercury-free material
  • Restores tooth strength
  • Prevents future decay
  • Quick, easy procedure
  • Highly durable composite
  • No temperature sensitivity
  • Preserves healthy enamel
Hygienist cost

Invisible Fillings Cost

Invisible fillings are a simple way to restore your teeth while keeping your smile natural. To make treatment more manageable, you can split the cost into three equal monthly payments using Klarna, so you can go ahead with treatment without delay.

View Treatment Costs

What to Expect in Invisible Fillings Treatment

Getting an invisible filling is a quick, one-hour procedure designed for your total comfort. Our skilled dentists use a gentle local anaesthetic before carefully clearing away the decay. We then seamlessly apply and bond the colour-matched composite, instantly restoring the health, strength, and flawless appearance of your tooth.

  • Comprehensive initial consultation and assessment
  • Gentle application of a local anaesthetic
  • Careful removal of the decayed area
  • Seamless fitting of tooth-colored composite
  • Final polishing for a natural finish
Rectangle 4949

Frequently Asked Questions About Invisible Fillings

Friendly-dental-receptionist-assisting-patient

Invisible fillings, also known as white or composite fillings, are made from a durable mixture of plastic resin and finely ground glass-like particles. This material is custom-mixed to exactly match the natural shade of your surrounding enamel, making the restoration virtually undetectable when you smile or laugh.

Yes, you certainly can. Many patients choose to safely remove and replace their dark, metallic amalgam fillings with tooth-coloured composite. This instantly revitalises your smile and eliminates the grey shadow that traditional metal fillings often cast on the surrounding tooth structure.

The process is quick and straightforward. After gently removing any decay, we clean and prepare the cavity. The composite resin is then applied in thin layers, shaped to match your tooth’s natural anatomy, and instantly hardened using a specialised curing light before being polished to a smooth finish.

No, the procedure is highly routine and typically completely pain-free. We use a localised anaesthetic to thoroughly numb the tooth and surrounding gum tissue before any work begins, ensuring you remain completely comfortable and relaxed throughout the entire appointment.

With excellent oral hygiene and regular dental check-ups, invisible fillings can easily last between 7 and 10 years, and often much longer. While they are incredibly durable for everyday chewing, they can eventually wear down or stain over time, just like your natural teeth.

Yes, if you’re replacing multiple silver fillings or combining treatments, you can still spread the cost. With Klarna, the total amount can be divided into three fixed monthly payments, making it easier to plan your treatment.

Make an enquiry speak to our team.

Career 2