Tr

Smile Stories before and after.

At Perfect Smile, we believe every smile tells a story. Our patients’ transformations show the power of modern dentistry from restoring confidence to creating life-changing results. Browse our before & after gallery to see what’s possible.

Transform your smile confidence starts here.

Achieve the smile you’ve always wanted with advanced, affordable treatments — from veneers and crowns to whitening and braces. Book your consultation today and take the first step toward a brighter, more confident you.

Multiple missing and teeth Before Multiple missing and teeth After
Patient’s concern:

Multiple missing and uneven teeth

Treatment:

Dental Implants

Dental implants replace missing teeth and restore alignment and function. They provide a stable, long-lasting solution, improving both appearance and bite for a healthier, more balanced smile.

See treatment
Missing front teeth Before Missing front teeth After
Patient’s concern:

Missing front teeth

Treatment:

Dental Implants

An implant is the latest method of replacing missing teeth. It is an artificial tooth root, made from titanium metal that the dentist places into your jaw to hold a replacement tooth or bridge.

See treatment
Crooked front teeth Before Crooked front teeth After
Patient’s concern:

Crooked front teeth

Treatment:

Invisalign

Invisalign straightens and aligns teeth without fixed metal braces. You can remove them whenever you want, they’re practically invisible, and you will start to see results within a few months.

See treatment
Gaps and uneven teeth Before Gaps and uneven teeth After
Patient’s concern:

Gaps and uneven teeth

Treatment:

Invisalign

Invisalign closes gaps and improves alignment without metal braces. The clear aligners are easy to wear, removable for daily comfort, and deliver gradual, natural-looking results over time.

See treatment
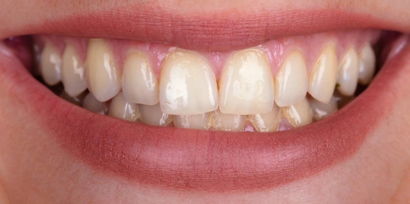
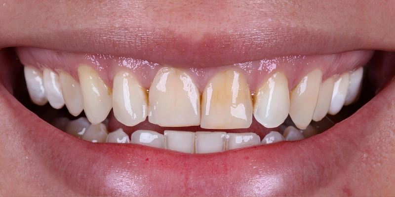
White before 2 perfectsmile After Teeth Whitening Perfectsmile Dental
Patient’s concern:

Stained and discoloured teeth

Treatment:

Teeth Whitening

Professional teeth whitening safely lifts stains and brightens your smile. It delivers noticeable results quickly, leaving teeth looking cleaner, fresher, and more confident.

See Treatment
White before perfectsmile After Yellowing and dull Teeth Whitening
Patient’s concern:

Yellowing and dull teeth

Treatment:

Teeth Whitening

Teeth whitening enhances the natural shade of your teeth by removing surface stains. The result is a brighter, more even smile achieved in a simple, non-invasive way.

See Treatment
Rectangle 4611 Rectangle 4613
Patient’s concern:

Uneven teeth

Treatment:

Smile makeover

Crooked teeth can be straightened with Invisalign braces or conventional orthodontics. They can also be covered with porcelain veneers or crowns for a faster solution.

See treatment
Before Composite Bonding Perfectsmile Dental After Composite Bonding Perfectsmile Dental
Patient’s concern:

Gaps and irregular tooth edges

Treatment:

Composite Bonding

Composite bonding closes small gaps and refines tooth shape without invasive treatment. The result is a balanced, seamless smile achieved quickly and comfortably.

See Treatment
Multiple missing and teeth Before Multiple missing and teeth After
Patient’s concern:

Multiple missing and uneven teeth

Treatment:

Dental Implants

Dental implants replace missing teeth and restore alignment and function. They provide a stable, long-lasting solution, improving both appearance and bite for a healthier, more balanced smile.

See treatment
Missing front teeth Before Missing front teeth After
Patient’s concern:

Missing front teeth

Treatment:

Dental Implants

An implant is the latest method of replacing missing teeth. It is an artificial tooth root, made from titanium metal that the dentist places into your jaw to hold a replacement tooth or bridge.

See treatment
Crooked front teeth Before Crooked front teeth After
Patient’s concern:

Crooked front teeth

Treatment:

Invisalign

Invisalign straightens and aligns teeth without fixed metal braces. You can remove them whenever you want, they’re practically invisible, and you will start to see results within a few months.

See treatment
Gaps and uneven teeth Before Gaps and uneven teeth After
Patient’s concern:

Gaps and uneven teeth

Treatment:

Invisalign

Invisalign closes gaps and improves alignment without metal braces. The clear aligners are easy to wear, removable for daily comfort, and deliver gradual, natural-looking results over time.

See treatment
White before 2 perfectsmile After Teeth Whitening Perfectsmile Dental
Patient’s concern:

Stained and discoloured teeth

Treatment:

Teeth Whitening

Professional teeth whitening safely lifts stains and brightens your smile. It delivers noticeable results quickly, leaving teeth looking cleaner, fresher, and more confident.

See Treatment
White before perfectsmile After Yellowing and dull Teeth Whitening
Patient’s concern:

Yellowing and dull teeth

Treatment:

Teeth Whitening

Teeth whitening enhances the natural shade of your teeth by removing surface stains. The result is a brighter, more even smile achieved in a simple, non-invasive way.

See Treatment
Rectangle 4611 Rectangle 4613
Patient’s concern:

Uneven teeth

Treatment:

Smile makeover

Crooked teeth can be straightened with Invisalign braces or conventional orthodontics. They can also be covered with porcelain veneers or crowns for a faster solution.

See treatment
Before Composite Bonding Perfectsmile Dental After Composite Bonding Perfectsmile Dental
Patient’s concern:

Gaps and irregular tooth edges

Treatment:

Composite Bonding

Composite bonding closes small gaps and refines tooth shape without invasive treatment. The result is a balanced, seamless smile achieved quickly and comfortably.

See Treatment

Relax we’ve got you.

We provide flexible payment plans for various treatments, allowing you to spread the cost from 12-60 months.

Finance Calculator

The proof's in the pudding our reviews.

Make an enquiry speak to our team.

Career 2