Tr

Root Canal Treatment for Infected Teeth

Severe toothache or sensitivity? We remove infection and restore your natural tooth so you can feel comfortable again.

0% INTEREST-FREE FINANCE AVAILABLE

Procedure Overview

Treatment Duration
Procedure Time
1–2 visits (usually 60–90 minutes each)
Recovery Time
Instant
1–2 days of mild sensitivity
Root Canal
6k
Root Canal Treatments

Thousands of natural teeth successfully saved from painful extraction across the UK.

About Root Canal Treatment

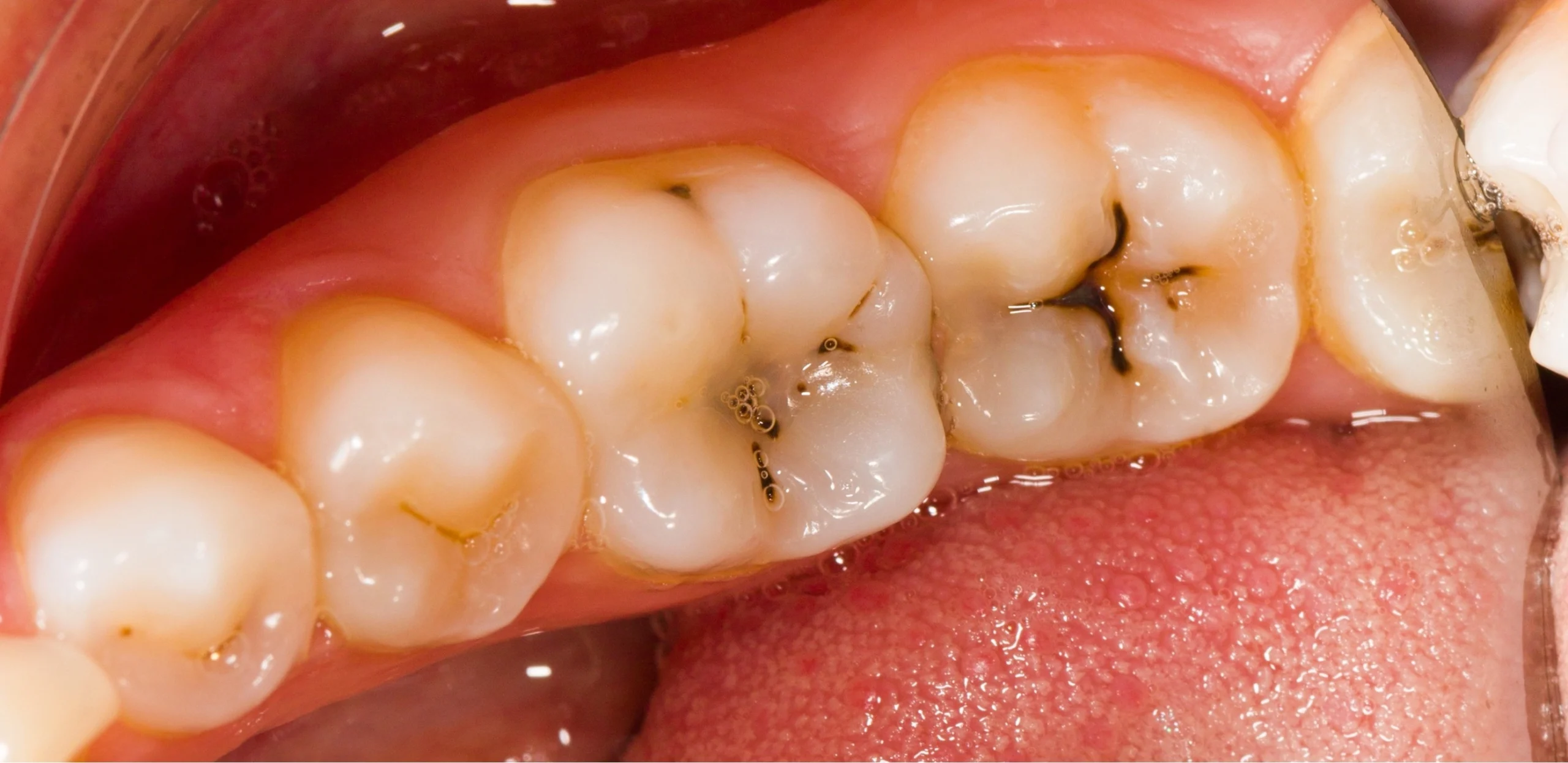
Think a root canal is something to fear? In reality, it is the exact treatment designed to instantly relieve your worst dental pain. At the centre of every tooth is the dental pulp which is a soft area containing nerves and blood vessels. When this tissue becomes badly decayed or infected, a root canal is necessary to save the tooth from complete extraction.

The procedure involves carefully accessing the inside of the tooth to remove the infected pulp and nerves. Once the root canals are thoroughly cleaned and cleared of all bacteria, the space is permanently sealed. Because a tooth’s nerve is strictly sensory, removing it will not affect your ability to eat, talk, or chew normally.

With an impressive success rate of over 90%, root canal therapy can save your tooth for a lifetime. Perfect Smile offers this essential, pain-relieving care across our network of UK clinics. Book your consultation today to eliminate infection and restore your oral health.

Contact Our Team
Rectangle 4923 Rectangle 4924

Root Canal Specialists Tooth Saved Effectively

When treating complex dental infections, the skill and precision of your practitioner dictate the success of the procedure. Perfect Smile is proud to house highly experienced general dentists alongside Specialist Endodontists who dedicate their entire practice to diagnosing and treating diseases of the human dental pulp.

Depending on the complexity of your specific tooth and the severity of the infection, our team will ensure you are matched with the most qualified expert for the job. This guarantees a safe, precise, and completely comfortable experience, whether you require a routine single-canal procedure or complex endodontic microsurgery.

For most cases, you can spread the cost into three monthly payments with Klarna, making treatment easier to manage. If your treatment is more complex, longer-term finance options may also be available to help spread the cost further.  Perfect Smile makes saving your natural teeth completely stress-free and accessible across all of our UK locations.

Advanced Endodontic Care

Our clinicians have a special interest in endodontics, providing precise and effective root canal treatments focused on saving natural teeth. Using advanced techniques and modern technology, our team has successfully managed a wide range of complex cases, prioritising patient comfort and long-term results.

Rectangle 4925

Who Needs It? Common Issues We Treat

Severe Toothache

Constant, throbbing pain that worsens significantly when you chew or apply pressure to the tooth.

Extreme Sensitivity

A lingering, painful reaction to hot or cold temperatures long after the source is removed.

Gum Swelling

Tender, swollen, or darkened gums surrounding a specific tooth, sometimes accompanied by a small bump.

Deep Dental Decay

Untreated cavities that have penetrated the hard outer enamel and infected the soft inner pulp.

Tooth Discolouration

A tooth that has suddenly turned grey or black, often indicating that the internal nerve has died.

Dental Trauma

A cracked or broken tooth resulting from a physical injury that has exposed the internal nerves to bacteria.

Root Canal Transparent Costs

Every tooth is different. Your treatment plan is tailored to the location of the tooth and the complexity of its root system.

  • Incisor/Canine Root Canal: The most straightforward procedure involving a single root canal at the front of the mouth.
  • Premolar/Molar Root Canal: A more complex treatment involving multiple curved or narrow root canals at the back of the mouth.
  • Specialist Endodontics: For highly complex anatomy or previously failed root canals requiring the advanced expertise of a Specialist Endodontist.
  • Consultation: Thorough assessment and X-rays to accurately diagnose the infection.

Payment Options

Essential restorative care should never be delayed due to cost. You can easily spread the cost of your root canal treatment with our 0% interest-free finance for up to 12 months. If you prefer smaller monthly payments, extended plans of up to 5 years are also available.

Finance Calculator
Rectangle 4926

Before and after See the Difference

 before  after
 before  after
 before  after

Real Smiles True Root Canal Stories

"Dr. Charu Mudgal was very helpful and friendly and made me feel at ease. I had alot of work done including root canal, filling and crown fitted. Very happy with the work done. Recommended"

– Bradley Bird, Chiswick
★ ★ ★ ★ ★

"Professional and caring team at this practice. I had a root canal over the course of several procedures with Dr.Julie who did a fantastic job."

– Oliver Wesley, Chiswick
★ ★ ★ ★ ★
White curve

Treatment Timeline: What to Expect

Root canal treatment is planned to remove infection, relieve pain, and preserve your natural tooth. Depending on the condition of the tooth, treatment is usually completed over 1–2 visits within 1–2 weeks.

Visit 1 (60–90 minutes): The infected pulp is removed, and the root canals are cleaned, shaped, and disinfected. A temporary filling or medication may be placed to allow the tooth to settle.

Visit 2 (30–60 minutes, if required): Once the tooth is stable and infection-free, the canals are permanently sealed to prevent reinfection.

Final Restoration (within 1–2 weeks): A permanent filling or crown is placed to restore strength, function, and long-term protection of the treated tooth.

Photo 1489278353717 f64c6ee8a4d2 1

Why Choose Perfect Smile for Root Canals

  • Dedicated Specialist Endodontists
  • Over 90% treatment success rate
  • IV and Oral Sedation available
  • Flexible 0% finance options
  • State-of-the-art diagnostic imaging
  • Multiple UK clinic locations

Benefits of Root Canal Treatment

  • Stops severe pain instantly: Eliminates the deep bacterial infection causing your extreme discomfort.
  • Saves your natural tooth: Prevents the absolute need for a costly, permanent tooth extraction.
  • Prevents spreading infection: Stops dangerous bacteria from travelling into your jawbone and bloodstream.
  • Highly successful procedure: Over 90% of root-treated teeth survive and function for a lifetime.
  • Restores normal function: Allows you to eat, drink, and chew comfortably without lingering sensitivity.
Photo 1489278353717 f64c6ee8a4d2 2

How It Works? Your Steps to a Pain-Free Smile

Step 1
Fi 15756405

Consultation & X-Rays

We assess the infected tooth using detailed imaging to accurately map out the root canal structure.

Consultation DI
Step 2
Fi 9249756

Anaesthesia & Sedation

Local anaesthetic (and optional IV/oral sedation) is administered to ensure a completely pain-free experience.

Anaesthesia & Sedation - 2
Step 3
Fi 1971503

Removing Infection

A small opening is made to carefully remove the diseased pulp and damaged nerve tissue.

Removing Infection
Step 4
Fi 5914941

Cleaning & Shaping

The empty root canals are meticulously cleaned, disinfected, and shaped to prepare for the filling.

Cleaning & Shaping
Step 5
Fi 2441072

Sealing the Roots

The canals are permanently filled with a rubber-like material to prevent any future bacterial reinfection.

Final Fitting DI
Step 6
Fi 18076420

Final Restoration

The tooth is capped with a permanent crown or filling to fully restore its original strength and appearance.

Healing DI

What’s happening at perfect smile...

@perfectsmilegroup Follow us on instagram

Frequently Asked Questions About Root Canal

Friendly-dental-receptionist-assisting-patient

Modern root canals are virtually painless. With advanced local anaesthetics and optional sedation available at our clinics, the procedure feels very similar to having a routine dental filling. In fact, the treatment relieves the severe pain caused by the infection itself.

While extraction is an option, saving your natural tooth is always the best choice for your oral health. Extracting a tooth can cause adjacent teeth to shift, lead to jawbone loss, and require more expensive replacements like dental implants or bridges.

The ease of With an impressive success rate of over 90%, a properly treated and restored tooth can easily last a lifetime. You simply need to maintain good daily oral hygiene and attend regular dental check-ups to keep the surrounding gums healthy. removal means it is easy to maintain dental hygiene standards whilst wearing the aligners.

In most cases, especially for back teeth (molars and premolars) that endure heavy chewing forces, a dental crown is highly recommended. A root-treated tooth can become brittle over time, and a crown provides essential protection and structural support.

Yes, most patients return to their normal daily activities immediately after their appointment. Your mouth will be numb for a few hours, and you may experience mild sensitivity for a couple of days, which is easily managed with standard over-the-counter painkillers.

Yes, payment options are available depending on the complexity of your treatment. For most cases, you can split the cost into three monthly payments with Klarna, making it easier to manage. For more complex or specialist treatment, 0% interest-free finance may be available for up to 12 months, with longer-term options if you prefer lower monthly payment

Keep Up to Date Latest News

Read more updates

How Long does a Root Canal Last?

A root canal may save teeth from extraction when the pulp becomes infected or inflamed. An endodontist can save your tooth by removing the pulp…

All You Need to Know About Root Canals

One of the most common questions we get asked is 'when is a root canal needed?'. And if your root canal is infected, we definitely…

Make an enquiry speak to our team.

Career 2