Tr

Dentist in Battersea

  • Address 25 Lavender Hill
    Battersea
    London
    SW11 5QW
  • Opening Hours
    • Monday 9am–6pm
    • Tuesday 9am–6pm
    • Wednesday 9am–6pm
    • Thursday 9am–6pm
    • Friday 9am–5pm

Existing Patient Exam (excl. X-Rays) - £63

New Patient Exam (excl. X-Rays) - £65

Emergency Appointment (excl. X-Rays) - £85

  • Private dental care
  • NHS dental care
  • Finance Plan Available
  • Selected Free Consultations
Languages Spoken At The Practice

English, Portuguese, Polish, Farsi, Bengali, Tamil, Swedish, Ukrainian, Amharic, Urdu, Punjabi, Russian

Finding us How to Get Here

Nearest Train Station Battersea Park/Clapham junction.

Bus Routes 156, 87, 137, 345, 77

Tube Clapham Common, Clapham South Tube Station

Get in Touch with Our Battersea Dental Practice

Offer Tag Spring Smile Event

Spring Smile Event

…Because confidence is always in season!

Join us for our Spring Smile Event to explore Invisalign, Dental Implants, Composite Bonding, Whitening and more. We’ll help you design a smile that boosts your confidence this year.

Enjoy a free consultation and 10% off treatments with exclusive discounts in practice for a limited time only. You can even spread the costs with our 0% finance plans.

SAVE £££'s on:

  • INVISALIGN
  • DENTAL IMPLANTS
  • COMPOSITE BONDING
  • WHITENING
  • VENEERS
  • SMILE DESIGN
See Offer

About Perfect Smile Dental Practice Battersea

A Multilingual Clinic on Lavender Hill

At Perfect Smile on Lavender Hill, we have been proudly providing exceptional NHS and private dental care since 2007. Our diverse, welcoming team speaks multiple languages, including Spanish, Polish, and Portuguese, ensuring you feel fully understood and comfortable during every visit.

Preventative Care & Advanced Stain Removal

Good oral health relies on regular preventative care. Keep your gums healthy and your breath fresh by booking an appointment with our Hygienist in Battersea. For a deeper clean, our advanced Hygiene + Airflow treatment gently removes stubborn stains and helps maintain a brighter, healthier smile.

Emergency Dentist in Battersea

If you are in pain, please call our reception team directly on 020 7223 3293 so we can accommodate you. For severe dental emergencies outside of our regular Monday–Friday hours, please contact NHS 111.

Book an Appointment

You can book a free cosmetic or Invisalign consultation, which includes a highly accurate iTero 3D scan to preview your future smile before treatment even begins. For routine care and hygienist visits, you can easily book your appointment online, fill out our quick enquiry form, or contact us directly.

Our Services

3D Scans and Clear Aligners

If you want to align your teeth discreetly, our expert orthodontist offers personalised solutions like Six Month Smiles and clear aligners. Using our advanced iTero 3D scanner, you can see a digital simulation of your new smile before your Invisalign treatment begins. Book a free consultation today to explore your straightening options and our flexible 0% finance plans.

Permanent, Natural-Looking Replacements

Our experienced specialists provide top-tier Dental Implants in Battersea, offering a permanent, highly secure restoration that is designed to look, feel and function like natural teeth. To help you restore your bite without the financial stress, we provide full clinical guidance and 0% interest payment plans.

Bespoke Smile Makeovers

Transform your confidence with a bespoke smile makeover. We provide seamless composite build-ups to repair minor chips. Whether you need a subtle enhancement or a complete aesthetic upgrade, book a free cosmetic consultation to see how easily we can elevate your smile.

What Patients Say About Our Dental Practice in Battersea

Explore Our Battersea Practice

Image 28 18

Battersea Private Treatment Price List

At Battersea Dental Practice, we offer a wide selection of NHS and private treatments designed to keep your smile healthy and confident. All prices stated in the price list are “from” for all treatments – all patients are treated individually. All quotations are given on the degree of difficulty and the amount of time taken to complete treatment.

Download Brochure

Treatment.

EXAMINATION

Professional dental reviews carried out to assess oral health and identify any areas of concern.

  • Monitors the condition of teeth and gums
  • Enables early diagnosis and timely care
Treatment Price (£)
Existing Patient Exam (excl. X-Rays) 63
New Patient Exam (excl. X-Rays) 65
X-Rays (each) 12
Emergency Appointment (excl. X-Rays) 85

X-RAYS

Clinical imaging used to capture detailed views of teeth and underlying structures.

  • Helps detect issues not visible during examinations
  • Supports accurate treatment planning
Treatment Price (£)
Intra Oral 12.00

PREVENTATIVE

Routine care focused on protecting teeth and maintaining healthy gums over time.

  • Helps prevent common dental problems
  • Supports long-term oral hygiene
Treatment Price (£)
Hygienist Session (30 mins) 90
Child Hygienist Session (15 mins) Under 15 45
Hygienist and airflow session 136
Fissure Sealants (per tooth) 45
Bite Guards 280
Sports Mouthguard 280

DENTURES - PER ARCH

Know More About Dentures

Individually made removable appliances are used to replace missing teeth and restore function.

  • Improves daily comfort when eating and speaking
  • Enhances overall smile appearance
Treatment Price (£)
Full Upper/ Lower Synthetic Denture 890
Partial Synthetic Upper/Lower Denture 735
Full Upper/Lower Chrome Denture 1260
Partial Chrome Upper/Lower Denture 950
Valplast Dentures 845
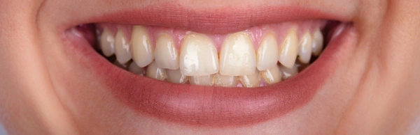
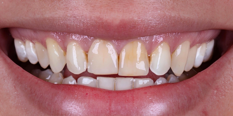
Before and after treatment
Before Dentures Perfectsmile Dental Before
After Dentures Perfectsmile Dental After
Before Dentures Perfectsmile Dental 1 Before
After Dentures Perfectsmile Dental 1 After
Know More About Dentures

Tooth-coloured materials are used to repair cavities while maintaining a natural look.

  • Restores the function of damaged teeth
  • Provides a discreet and aesthetic finish
Treatment Price (£)
White/Composite
Small 185
Medium 230
Large 295
Before and after treatment
Before Fillings Before
After Fillings After
Before Fillings 1 Before
After Fillings 1 After
Know More About Fillings

ROOT CANAL TREATMENTS

Know More About Root Canal

Treatment designed to remove infection from within the tooth and preserve its structure.

  • Eliminates bacteria and prevents further damage
  • Helps retain the natural tooth
Treatment Price (£)
Incisor/Canine 565
Premolar 680
Molar 890
Before and after treatment
Before Root Canal Treatments Before
After Root Canal Treatments After
Before Root Canal Treatments 1 Before
After Root Canal Treatments 1 After
Know More About Root Canal

CROWNS, BRIDGES & VENEERS

Custom restorations created to repair, replace, and enhance the appearance of teeth.

  • Strengthens and protects compromised teeth
  • Improves the look and symmetry of your smile
Treatment Price (£)
Bonded Metal/Porcelain 850
Full Gold Crown 945
Full Porcelain Crown 895
Zirconia Crown/Emax 995
Gold Inlays/Onlays 840
Porcelain Inlays/Onlays 900
Veneers (per tooth) 825
Post/Core Retention 225
Bridgework (per unit) 780
Composite Bonding 250
Before and after treatment
Before Restorative and cosmetic treatments Before
After Restorative and cosmetic treatments After
Before Restorative and cosmetic treatments 1 Before
After Restorative and cosmetic treatments 1 After

Fixed solution for missing teeth designed to provide stability and a natural feel.

  • Restores full function and appearance
  • Helps maintain jawbone support
Treatment Price (£)
Consultation 65
Single Implant (inc crown) 2800
Multiple Implants Price on Consultation
CT Scan 189
Bone Graft 750
Sinus Lift 1500
Before and after treatment
Before Dental Implants Before
After Dental Implants After
Before Dental Implants 1 Before
After Dental Implants 1 After
Know More About Dental Implants

EXTRACTIONS

Procedure used to remove teeth that are damaged, infected, or causing complications.

  • Prevents further oral health issues
  • Relieves discomfort and pressure
Treatment Price (£)
Simple Extraction 210
Complex Extraction 260
Surgical Extraction 395

Clear aligner treatment dis eveloped to straighten teeth gradually and discreetly.

  • Virtually invisible when worn
  • Designed for comfort and flexibility
Treatment Price (£)
Consultation Free
Lite Treatment 3000
Moderate Treatment 3500
Comprehensive Treatment 4500
Before and after treatment
Before Invisalign 1 Before
After Invisalign 1 After
Before Invisalign Before
After Invisalign After
Know More About Invisalign

RETAINERS

Custom-made devices are used to keep teeth aligned after orthodontic treatment.

  • Maintains results achieved through treatment
  • Prevents unwanted tooth movement
Treatment Price (£)
Essix Retainer (per arch) 190
Essix Retainer (dual arch) 345
Vivera Retainer (3 sets of the same) 650
Fixed Retainer (per arch) 288
Bonded Retainer 275

Professional treatments aimed at improving tooth colour and removing stains.

  • Enhances the brightness of your smile
  • Delivers safe and effective results
Treatment Price (£)
Boutique Home Whitening 375
Enlighten Home Whitening 650
Whitening Syringes - Boutique 50
Whitening Syringes - Enlighten 70
Whitening Trays (per tray) 190
Before and after treatment
Before whitening treatment 1 Before
After whitening treatment After
Before whitening treatment 1 1 Before
After whitening treatment 1 After
Know More About Whitening

Payment Options @Perfect Smile

We offer flexible payment plans to help you spread the cost of your treatment. A £1,000 treatment can be spread over 12 months at 0% interest, with monthly payments of £83.33 and no added cost, while treatments under £1000 can be split into three monthly payments with Klarna. Our team will guide you through everything clearly. Contact your nearest practice or enquire below to get started.

£

INTEREST FREE 0% APR

Duration Monthly Total
6 months
10 months
12 months

PART SUBSIDISED 9.9% APR

Duration Monthly Total
36 months
48 months
60 months

Financial Conduct Authority and entered on the Financial Services Register.

dentist-explaining-xray-to-patient

Practice Facilities and Highlights

Our Battersea dental clinic offers a welcoming and well-equipped environment, designed to make your visits smooth and stress-free.

  • Path 292 Free Invisalign Consultation
  • Path 292 Free Cosmetic Consultation
  • Path 292 Disabled Access Available
  • Path 292 Interest Free Finance
  • Path 292 Children Adults Families
  • Path 292 Nearby Paid Parking
  • Path 292 Same Day Appointments
  • Path 292 Emergency Dental Care
Path 292 Languages Spoken At The Practice

English, Portuguese, Polish, Farsi, Bengali, Tamil, Swedish, Ukrainian, Amharic, Urdu, Punjabi, Russian

Meet Your Battersea Practice Dental Team

Helena Puskarz
Helena Puskarz

GDC: 65073

View profile
Frej Rahmani
Frej Rahmani

GDC: 71191

View profile
Zeanab Chaer
Zeanab Chaer

GDC: 318431

View profile
Mohhamed Ahmed
Mohhamed Ahmed

GDC: 298453

View profile
Sachini Ranasinghe
Sachini Ranasinghe

GDC: 304984

View profile
Elena Fernandes
Elena Fernandes
View profile
Valeriia Sydorova
Valeriia Sydorova
View profile
Afsana Ahmed
Afsana Ahmed
View profile
Haseina Haslami
Haseina Haslami
View profile

What’s happening at perfect smile...

@perfectsmilegroup Follow us on instagram

Frequently Asked Questions

Frequently Asked Questions

Yes, our established Dental Practice Battersea warmly welcomes new patients. Whether you are looking for a routine check-up, complex cosmetic work, or reliable family care, you will be backed by the strength of the Perfect Smile network, which safely treats over 10,000 patients every week.

If you are suffering from a severe toothache, a broken tooth, or an infection, contact our clinic immediately for an Emergency Dentist in Battersea. Our veteran dental team will prioritise getting you out of pain as quickly and safely as possible.

Dental Implants in Battersea are widely considered the gold standard for replacing missing teeth, as they look, feel, and function like natural teeth. Across the Perfect Smile group, we successfully place over 50 implants every week, offering permanent, life-changing results.

Visiting a Dental Hygienist is crucial to prevent gum disease, halt bone loss, and keep your natural teeth for a lifetime. It also ensures your breath stays fresh and your smile remains free of stubborn calculus and plaque build-up.

Yes! We provide free, no-obligation consultations for transformative treatments like Invisalign, Six-Month Smiles, and dental implants.

For larger treatments, you may prefer a lower monthly payment. We offer a highly flexible, part-subsidised 9.9% APR finance plan. This allows you to extend your repayment schedule over 36, 48, or even 60 months, making your dream smile fit comfortably within your monthly budget.

Keep Up to Date Latest News

Read more updates

10 Common Myths About Botox You Must Know

Botox is one of the most popular cosmetic procedures used by people to look younger. Botox is performed worldwide, but it also comes with numerous…

10 Effective Ways to Manage Sensitive Teeth

‘A short, sharp, intense pain’ is the term most people use to describe the sensation in their mouth after eating or drinking anything hot or…

10 Most Common Myths about Oral Health

Ever since influencers started providing health information, including dental care, on social media platforms, there has been a growing level of confusion amongst people. Since…

Make an enquiry speak to our team.

Locate the practice. See it on the map.

Chat on Whatsapp