Tr

Dentist in Ham

  • Address 50 Ashburnham Rd
    Ham
    Richmond
    TW10 7NF
  • Opening Hours
    • Monday 9am–6pm
    • Tuesday 9am–6pm
    • Wednesday 9am–6pm
    • Thursday 9am–6pm
    • Friday 8am–4pm

Existing Patient Exam (excl. X-Rays) - £68

New Patient Examination (excl. X-Rays) - £68

Emergency Appointment (excl. X-Rays) - £89

  • Private dental care
  • NHS dental care
  • Finance Plan Available
  • Selected Free Consultations
Languages Spoken At The Practice

English, Arabic, Hindi, Urdu, Marathi, Spanish, Mandarin, Cantonese, Italian and Welsh.

Finding us How to Get Here

Nearest Train Station Richmond

Bus Routes 371 (Ashburnham Rd Stop) & 65 (Sandy Lane)

Contact Our Ham Practice Dental Team

Offer Tag Spring Smile Event

Spring Smile Event

…Because confidence is always in season!

Join us for our Spring Smile Event to explore Invisalign, Dental Implants, Composite Bonding, Whitening and more. We’ll help you design a smile that boosts your confidence this year.

Enjoy a free consultation and 10% off treatments with exclusive discounts in practice for a limited time only. You can even spread the costs with our 0% finance plans.

SAVE £££'s on:

  • INVISALIGN
  • DENTAL IMPLANTS
  • COMPOSITE BONDING
  • WHITENING
  • VENEERS
  • SMILE DESIGN
See Offer

About Perfect Smile Dental Practice Ham

Trusted Dental Care

At Perfect Smile, our established, family-oriented Ham practice provides highly tailored care in a completely relaxing environment. Since joining the group in 2008, we have expanded into a larger, state-of-the-art clinic to offer exceptional private and NHS dentistry, ensuring your visits are completely stress-free from start to finish.

Comprehensive Everyday Dentistry

Protecting your smile starts with excellent routine care. We provide a full spectrum of everyday treatments, from thorough dental check-ups to restorative fillings and digital X-rays. Patients can also book regular maintenance sessions with our hygiene team for professional scaling and advanced Airflow stain removal.

Fast & Reassuring Urgent Relief

We actively strive to offer same-day or next-day emergency appointments starting to ensure you aren’t left in pain. Call our caring team on 020 8948 4085 to secure the earliest available slot. If you need help outside of our operating hours, please dial 111.

Schedule Your Visit Today

Our highly praised reception team—consistently commended by patients for their warm, personalised service is ready to welcome you for private care and complimentary cosmetic consultations. Simply fill out our quick online enquiry form or call us directly on 020 8948 4085 to get started.

Our services

Modern Clear Aligner Treatments

Uneven or crowded teeth can impact your confidence and make daily brushing difficult. If you are looking for an alternative to traditional metal braces, our clinic offers highly effective clear aligner treatments. Our Invisalign packages comfortably and predictably straighten your smile using virtually invisible, removable trays. Book a free consultation today to explore your options and our flexible 0% payment plans.

Fast, Natural Smile Corrections

For minor chips, gaps, or uneven edges, our composite bonding offers a quick, non-invasive solution. Using high-quality, tooth-coloured resin, we carefully sculpt and restore your smile in a single visit. No drilling, no injections, and no downtime. The result is a smooth, natural-looking finish that blends seamlessly with your existing teeth.

Permanent Replacements for Missing Teeth

Losing a tooth can affect how you speak, chew, and feel about your smile. Replacing those gaps is vital for restoring your long-term oral health. You are in expert hands with our implant specialists, who provide stable, natural-looking restorations that function just like your real teeth. Knowing that oral surgery can feel intimidating, we offer full guidance and 0% financing options to ease your journey.

What Patients Say About Our Dental Practice in Ham

Step Inside Our Ham Practice

Image 28 15

Ham Private Treatment Price List

Perfect Smile Ham offers accessible NHS and private care, helping you protect and improve your smile at every stage. All prices stated in the price list are “from” for all treatments – all patients are treated individually. All quotations are given on the degree of difficulty and the amount of time taken to complete treatment.

Download Brochure

Treatment.

EXAMINATION

Comprehensive dental assessments carried out to evaluate your oral condition and identify any underlying concerns.

  • Detects potential issues before they become serious
  • Guides dentists in planning suitable care
Treatment Price (£)
Patient Examination (excl. X-Rays) 68
X-Rays (each) 12.50
Emergency Appointment (excl. X-Rays) 89

X-RAYS

Advanced imaging techniques used to gain a deeper view of teeth, roots, and surrounding bone.

  • Helps uncover hidden dental conditions
  • Supports precise and informed treatment planning
Treatment Price (£)
Intra Oral 12
OPG 70
CT Scan 190

PREVENTATIVE

Essential dental care focuses on preserving oral health and avoiding future complications.

  • Minimises the risk of tooth decay and gum disease
  • Keeps teeth and gums clean and healthy
Treatment Price (£)
Hygienist Session 90
Child Hygienist Session 65
Hygienist and Airflow Session 135
Fissure Sealants (per tooth) 50
Bite Guards 300
Sports Mouthguard 300

DENTURES - PER ARCH

Know More About Dentures

Tailor-made removable appliances designed to replace missing teeth and restore daily function.

  • Improves eating comfort and speech
  • Restores natural facial appearance
Treatment Price (£)
Full Upper/ Lower Synthetic Denture 975
Partial Synthetic Upper/Lower Denture 975
Full Upper/Lower Chrome Denture 1400
Partial Chrome Upper/Lower Denture 1400
Valplast Dentures 875
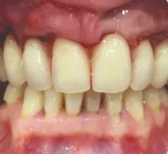
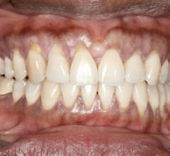
Before and after treatment
Before Dentures Perfectsmile Dental Before
After Dentures Perfectsmile Dental After
Before Dentures Perfectsmile Dental 1 Before
After Dentures Perfectsmile Dental 1 After
Know More About Dentures

Tooth-coloured materials used to repair cavities and minor structural damage.

  • Strengthens the affected tooth
  • Offers a seamless, natural finish
Treatment Price (£)
White/Composite
Small 190
Medium 235
Large 265
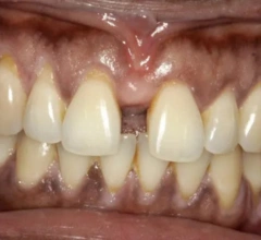
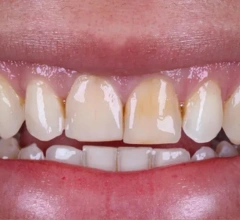
Before and after treatment
Before Fillings Before
After Fillings After
Before Fillings 1 Before
After Fillings 1 After
Know More About Fillings

ROOT CANAL TREATMENTS

Know More About Root Canal

Specialised procedure used to treat infection within the inner part of a tooth.

  • Removes infection and protects surrounding tissue
  • Helps retain the original tooth structure
Treatment Price (£)
Consultation 50
Incisor/Canine 650
Premolar 750
Molar 850
Before and after treatment
Before Root Canal Treatments Before
After Root Canal Treatments After
Before Root Canal Treatments 1 Before
After Root Canal Treatments 1 After
Know More About Root Canal

CROWNS, BRIDGES & VENEERS

Custom dental restorations are created to rebuild, replace, and enhance teeth.

  • Reinforces damaged or weakened teeth
  • Improves smile aesthetics and balance
Treatment Price (£)
Bonded Metal/Porcelain 975
Full Gold Crown 1400
Full Porcelain Crown 1075
Zirconia Crown/Emax 1075
Gold Inlays/Onlays 1075
Porcelain Inlays/Onlays 995
Veneers (per tooth) 955
Post/Core Retention 275
Bridgework (per unit) 975
Composite Bonding 395
Before and after treatment
Before Restorative and cosmetic treatments Before
After Restorative and cosmetic treatments After
Before Restorative and cosmetic treatments 1 Before
After Restorative and cosmetic treatments 1 After

Fixed tooth replacement option designed to function and feel like natural teeth.

  • Provides a strong and stable long-term solution
  • Helps maintain bone structure and facial support
Treatment Price (£)
Consultation 25
Single Implant (inc crown) 3150
Multiple Implants Price on Consultation
CT Scan 190
Bone Graft 750
Sinus Lift 750
Before and after treatment
Before Dental Implants Before
After Dental Implants After
Before Dental Implants 1 Before
After Dental Implants 1 After
Know More About Dental Implants

EXTRACTIONS

Procedure carried out to remove teeth that are beyond repair or causing complications.

  • Prevents further damage to surrounding teeth
  • Reduces pain and risk of infection
Treatment Price (£)
Simple Extraction 190
Complex Extraction 295
Surgical ExtractionSurgical Extraction 390

Clear aligner treatment is used to gradually move teeth into a straighter position.

  • Discreet and barely noticeable design
  • Allows easy removal for eating and cleaning
Treatment Price (£)
Consultation Free
Lite Treatment 3000
Moderate Treatment 3600
Comprehensive Treatment 4500
Before and after treatment
Before Invisalign 1 Before
After Invisalign 1 After
Before Invisalign Before
After Invisalign After
Know More About Invisalign

RETAINERS

Devices used after orthodontic treatment to keep teeth in their corrected alignment.

  • Maintains long-term results after braces or aligners
  • Prevents unwanted tooth movement
Treatment Price (£)
Essix Retainer (per arch) 190
Essix Retainer (dual arch) 350
Vivera Retainer (3 sets of the same) 650
Vivera Retainer (3 sets of the same) 330
Bonded Retainer 330

Professional solutions aimed at improving tooth colour and removing stains.

  • Enhances the brightness of the smile
  • Safe and controlled whitening process
Treatment Price (£)
Boutique Home Whitening 375
Enlighten Home Whitening 675
Whitening Syringes - Boutique 37.50
Whitening Syringes - Enlighten 72
Whitening Trays (per tray) 195
Before and after treatment
Before whitening treatment 1 Before
After whitening treatment After
Before whitening treatment 1 1 Before
After whitening treatment 1 After
Know More About Whitening

Payment Options @Perfect Smile

We offer flexible payment plans to help you spread the cost of your treatment. A £1,000 treatment can be spread over 12 months at 0% interest, with monthly payments of £83.33 and no added cost, while treatments under £1000 can be split into three monthly payments with Klarna. Our team will guide you through everything clearly. Contact your nearest practice or enquire below to get started.

£

INTEREST FREE 0% APR

Duration Monthly Total
6 months
10 months
12 months

PART SUBSIDISED 9.9% APR

Duration Monthly Total
36 months
48 months
60 months

Financial Conduct Authority and entered on the Financial Services Register.

dentist-explaining-xray-to-patient

Practice Facilities and Highlights

Our Ham clinic is designed to offer accessible, modern care with added convenience for patients from diverse backgrounds.

  • Path 292 Children Adults Families
  • Path 292 Free Parking Available
  • Path 292 Disabled Access Available
  • Path 292 Free Invisalign Consultation
  • Path 292 Free Cosmetic Consultation
  • Path 292 Interest Free Finance
  • Path 292 Same Day Appointments
  • Path 292 Smile Makeover Experts
Path 292 Languages Spoken At The Practice

English, Arabic, Hindi, Urdu, Marathi, Spanish, Mandarin, Cantonese, Italian and Welsh.

Meet Your Ham Practice Dental Team

Rianna Patel
Rianna Patel

Private Dentist

GDC: 274434

View profile
Martina Rosa
Martina Rosa

Private Dentist

GDC: 184360

View profile
Saud Jumaily
Saud Jumaily

Dentist, BDS MFDS RCSEd

310159

View profile
Nora Mahdi
Nora Mahdi

Dentist, BDS (Lond), BSc (Hons)

310443

View profile
Harry Evans
Harry Evans

Dentist

GDC: 310180

View profile
Rumman Nizami
Rumman Nizami

Hygienist

GDC: 298900

View profile

What’s happening at perfect smile...

@perfectsmilegroup Follow us on instagram

Frequently Asked Questions

Frequently Asked Questions

When choosing a dentist, you want a team that combines high-quality care with genuine community trust. At Perfect Smile, we treat our patients like family. We offer both routine and cosmetic dentistry in a welcoming environment, backed by the safety and expertise of a nationwide network that successfully treats over 10,000 patients every week.

Absolutely. We strongly believe that exploring your smile options shouldn’t cost you anything upfront. We offer free, no-obligation consultations for high-value treatments like Invisalign, dental implants, and full smile makeovers.

Our expert clinicians provide a full suite of cosmetic services. This includes composite bonding, porcelain veneers, crowns, and premium teeth whitening options like Boutique and Enlighten, all tailored to enhance your natural smile.

Your day-to-day dental health is in the hands of our highly skilled general dentists. They handle everything from comprehensive dental examinations and digital X-rays to tooth-colored white fillings and root canal treatments.

Yes, we have completely structured our pricing to ensure a beautiful smile is accessible to everyone. Instead of paying a large lump sum, you can break down the cost of treatments like implants or braces into highly manageable monthly chunks using our dedicated dental finance plans.

Our most popular financial tool is the 0% APR plan. This allows you to split the total cost of your treatment evenly over 6, 10, or 12 months without paying a single penny in interest. For instance, if your treatment is £1,200, you will pay exactly £100 a month for a year—no hidden fees, no extra charges.

Keep Up to Date Latest News

Read more updates

10 Effective Ways to Manage Sensitive Teeth

‘A short, sharp, intense pain’ is the term most people use to describe the sensation in their mouth after eating or drinking anything hot or…

All You Need to Know About Root Canals

One of the most common questions we get asked is 'when is a root canal needed?'. And if your root canal is infected, we definitely…

Asthma Medication and Tooth Decay – the Facts

The more advanced dentistry becomes, the more your dentist is able to help prevent problems such as decay, missing teeth or infection. The other side…

Make an enquiry speak to our team.

Locate the practice. See it on the map.

Chat on Whatsapp