Visible changes after dental implants are often shown in photos, but structural and functional improvements occur gradually. Clinical assessment, treatment planning, and regulatory standards set by the GDC and CQC help determine the outcome. This guide explains what really happens before, during, and after dental implant treatment.
The Dental Implant Process: What Happens Before and After
Dental implant results develop gradually through carefully sequenced stages rather than a single appointment.
Before Treatment: Examination and Planning
The “before” stage starts with a comprehensive clinical assessment. A thorough examination typically
includes:
- Digital radiographs or 3D CBCT imaging
- Assessment of gum health and surrounding soft tissues
- Measurement of bone volume
- Review of medical history
- Assessment of bite alignment
These investigations determine whether sufficient bone exists to support an implant. If bone loss has occurred, grafting procedures may be required before placement.
Common circumstances before treatment include:
- A single missing tooth
- Several gaps affecting chewing balance
- Loose or unstable dentures
- Gradual shifting of the remaining teeth
- Minor facial changes may occur due to bone loss, especially when teeth have been missing for years.
In full dental implant before-and-after cases, bone shrinkage may be more noticeable when teeth have been absent for
a prolonged period.
Implant Placement and Healing
Implant placement is performed under local anaesthesia. The titanium fixture is inserted into the jawbone, and the gum is closed for healing—osseointegration, where bone bonds with the implant, typically takes 3 – 6 months. Temporary crowns may be used for front teeth to maintain appearance during healing.
When integration is complete:
- An abutment is attached to the implant.
- Impressions are taken.
- A custom restoration is fabricated.
- The final crown or ground is secured.
At this stage, the visible “ after ” effect becomes apparent, with restored tooth durability and improved
bite function.
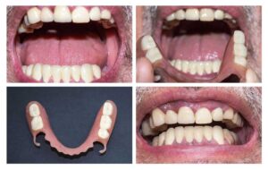
Dental Implants Images Before and After: What They Demonstrate
Images showing dental implants before and after treatment frequently highlight aesthetic improvements such as:
- Closure of visible gaps
- Improved alignment
- Balanced gum contours
- Restored smile symmetry
However, images rarely show internal structural changes. Bone preservation and functional stability cannot be captured fully in photographs. For this reason, visual comparison should be considered alongside clinical explanation.
Full Dental Implants Before and After
Full dental implant cases before and after generally involve multiple missing teeth or significant dental deterioration.
Partial Tooth Replacement

When several teeth are missing, an implant-supported bridge may be used to restore durability without altering contiguous healthy teeth.
- Chewing pressure may be uneven.
- Remaining teeth may begin to shift.
- Gaps can affect speech clarity.
After treatment:
- Bite distribution becomes more balanced.
- Fixed restorations provide stability.
- Tooth alignment appears more uniform.
Full Mouth Dental Implants Before and After Pictures
Full mouth dental implants before and after film frequently present a comprehensive change. This approach may involve a series of implants supporting an entire upper or lower arch.
Before full arch treatment:
- Dentures may move during speech or eating.
- Gum irritation may occur.
- Facial support can appear reduced.
- Food choices may become limited.
After full arch restoration:
- Teeth remain fixed in position.
- Chewing function improves.
- Speech may feel clearer.
- Facial contours appear more supported.
Adaptation ages differ between individuals, particularly for those transitioning from removable dentures to fixed restorations.
Front Tooth Implants: Before and After Results

Dental implants for front teeth, before and after cases, require particular precision due to visibility.
Considerations include:
- Shade harmony with neighbouring teeth
- Natural translucency
- Even gum margins
- Appropriate lip support
Temporary crowns are occasionally used to guide gum shaping before the definitive restoration is fitted, supporting a balanced final appearance.
Before and After Dental Implants Cost
The cost of dental implants before and after treatment varies according to clinical requirements rather than appearance alone.
Factors influencing cost include:
- Number of implants required
- Necessity for bone grafting
- Type of restoration (single crown, bridge or full arch)
- Materials selected
- Laboratory processes involved
The cost of a single dental implant generally ranges between£ 1,800 and£ 4,500, depending on clinical complexity and accoutrements used. An individual discussion is needed to establish an acclimatised treatment plan and associated fees.
Healing Timeline: When Results Become Visible
The visible “ after ” stage appears only formally and has progressed sufficiently.
A typical timeline may involve:
- Initial week: minor swelling or tenderness
- Weeks two to eight: soft tissue recovery
- Three to six months: bone integration
- Final stage: placement of permanent restoration
Healing time varies depending on bone quality, oral hygiene and overall health.
Early Implant Assessment is Advisable Before Further Bone Reduction Occurs
Bone loss can continue gradually following tooth extraction, frequently without egregious symptoms. As time passes, restorative options may constrict, and fresh procedures may become necessary.
A timely implant assessment allows clinicians to estimate bone quality and viability before further deterioration occurs, making treatment planning further predictable. Securing an appointment at the foremost occasion supports clearer planning and avoids gratuitous delay.
If you are considering dental implants and would like to understand your suitability, arrange a consultation to discuss your options and receive a tailored treatment plan.
Frequently Asked Questions (FAQs)
1. How different will my face look after dental implants?
After tooth loss, jawbone shrinkage can affect facial support, particularly around the cheeks and lips. Dental implants may help maintain bone structure and improve facial proportions compared to leaving gaps untreated. Changes vary depending on the number of missing teeth and the duration of tooth loss.
2. What should be expected immediately before and after dental implant surgery?
Before surgery, a clinical examination and imaging are completed to assess bone volume and treatment planning. After placement, mild swelling or tenderness may occur for several days. The visible “after” result becomes clearer once healing and final restoration are complete.
3. Do full mouth dental implants before and after results look natural?
When carefully planned, full arch restorations are designed to match facial proportions, gum contours and natural tooth shade for a balanced appearance.
4. Does bone shrinkage affect the dental implant before and after results?
Yes. Bone reduction before treatment can influence planning and may require grafting. The “after” result aims to restore function while supporting bone stability.
Conclusion
Before and after implant comparisons frequently show visible enhancement, yet the process behind that change involves assessment, surgical placement and natural integration.
Whether reviewing before and after comparisons or exploring full arch treatment results, it’s important to understand that the transformation develops gradually over time.