Losing a tooth changes more than appearance. Eating may feel uncomfortable. Certain words might sound different. Smiling in social situations can become something to think about rather than something done naturally.
At that point, dental implants are often mentioned.
But questions quickly follow:
- What exactly is a dental implant?
- How is it different from a bridge or denture?
- Does the procedure hurt?
- Is it safe?
- How long does it last?
- What does it cost in the UK?
Here, you’ll find a clear and detailed explanation of dental implants, including how they work, the options available, what to expect during treatment, potential risks, and whether they’re right for you.
Understanding Dental Implants
A dental implant is a small titanium post placed into the jawbone to replace a missing tooth root. After healing, it supports a crown (a visible artificial tooth), a bridge, or even a full arch of teeth.
Unlike dentures, implants do not sit on top of the gums.
Unlike traditional bridges, they do not rely on neighbouring teeth for support.

They function more like a natural tooth because they replace the root beneath the gum as well as the visible surface.
The Three Parts of a Dental Implant
Understanding the structure makes the concept easier.
| Component | What It Is | What It Does |
| Implant Post | A small titanium screw was placed in the bone | Acts as the artificial root |
| Abutment | Connector piece | Joins the implant to the crown |
| Crown | Custom-made visible tooth | Restores appearance and function |
Once healed, the implant becomes stable because it bonds with the jawbone in a process known as osseointegration.
Why Implants Feel More Natural Than Dentures
A denture rests on the gum. An implant is anchored in bone.
That difference explains why many people report:
- Greater confidence while eating
- No slipping or clicking
- A biting force closer to natural teeth
Because the implant stimulates the jawbone, it also helps reduce the bone shrinkage that often follows tooth loss.
Types of Dental Implants
Dental implants are available in different types, and the most suitable option depends on your bone structure, the number of missing teeth, and your overall treatment needs. Each type is designed to address specific clinical situations. The table below outlines the main implant types and when they are typically recommended.
| Implant Type | When Is It Usually Used? | Suitable If… | Commonly Used? |
| Endosteal Implants | Replacing one or several missing teeth | There is a healthy jawbone with good density | Yes – most common type |
| Subperiosteal Implants | When bone height is limited, and grafting may not be preferred | Jawbone is not deep enough for standard implants | Less common |
| Zygomatic Implants | Replacing upper teeth where there is significant bone loss | The upper jaw has severe bone shrinkage | Used in complex cases |
| Mini Dental Implants | Stabilising dentures or replacing very small teeth | Space is limited, or the bone is narrow | Selected cases |
Dental Implant Options Based on Your Needs
Not everyone loses teeth in the same way. Some people are missing a single tooth after an accident. Others may have worn dentures for years. The right implant option depends on how many teeth are missing, where they are located, and the condition of the jawbone.
Below are the most common ways dental implants are used to restore teeth.
Single Tooth Implant
Best for: Replacing one missing tooth
- Does not affect neighbouring healthy teeth
- Common choice for front teeth
- Fixed in place (not removable)
- Designed to match surrounding teeth

Suitable if:
- Only one tooth is missing
- You want a long-term fixed replacement
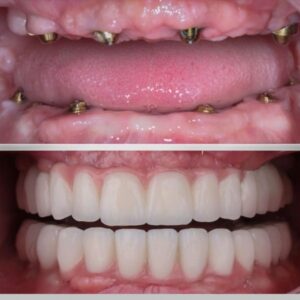
Full Mouth Dental Implants
Best for: Replacing most or all teeth
- Fixed alternative to dentures
- Supports a full set of upper or lower teeth
- Does not move while eating or speaking

Suitable if:
- You currently wear dentures
- Multiple teeth are missing
- You want a stable full-arch solution
All-on-4 Dental Implants
Best for: Full arch replacement with fewer implants
- All-on-4 dental implants support a complete arch
- Designed to maximise available bone
- Often considered when bone levels are reduced
Suitable if:
- Most teeth in one jaw are missing
- You want fixed teeth supported by fewer implants
Same-Day Teeth Implants
Best for: Minimising time without teeth
- Temporary teeth fitted on the same day (in selected cases)
- Final teeth placed after healing
- Requires good bone stability
Suitable if:
- You do not want to be without visible teeth
- Your bone condition allows immediate placement
Dental Implant Procedure Step by Step
The dental implant procedure involves a comprehensive assessment, precise surgical placement, and a healing phase that allows the implant to integrate with the jawbone before the final restoration is fitted.
Step 1. Consultation and Assessment
Includes:
- Medical history review
- Oral examination
- 3D imaging (CBCT scan
Bone density and gum health are assessed
Step 2. Treatment Planning
A tailored plan outlines:
- Number of implants
- Whether bone grafting is required
- Timeline
Step 3. Implant Placement
- Carried out under local anaesthetic
- The implant post was placed into the bone
- Gum closed over or around the implant
The appointment length depends on case complexity.
Step 4. Healing Period (Osseointegration)
Healing usually takes several months. During this stage, the implant bonds with the bone.
Step 5. Crown Placement
Once stable:
- Abutment attached
- Final crown fitted
- Bite adjusted
Want to know exactly what will happen at every stage of your treatment? Read our complete Dental Implant Procedure Step-by-Step guide and approach your consultation with confidence and clarity.
Are Dental Implants Painful?
Pain is usually the first concern when considering dental implants.
Will it hurt during the procedure?
This is often the first concern when considering dental implants.
Before the implant is placed:
- The area is thoroughly numbed with local anaesthetic
- You remain awake but should not feel pain
What you may feel during treatment:
- Gentle pressure
- Minor vibration
- Movement in the area
Sharp pain is not expected. Many people are surprised that the procedure feels more straightforward than they imagined.
If you are feeling anxious, this can be discussed beforehand so that you feel comfortable and fully informed before proceeding.
What does it feel like afterwards?
After the numbness wears off, it is normal to experience:
- Mild swelling
- Tenderness around the gum
- Slight discomfort when chewing
- Minor bruising in some cases
For many people, the feeling is similar to having a tooth removed.
How long does discomfort last?
- Most soreness settles within a few days
- Mild tenderness may last up to a week
- Over-the-counter pain relief is often sufficient
Recovery can vary depending on:
- The number of implants placed
- Whether additional procedures (such as bone grafting) were needed
- Individual healing response
Most patients return to normal daily activities within a short period.
Side Effects of Dental Implants
As with any minor surgical procedure, temporary effects can include:
- Swelling
- Minor bleeding
- Bruising
- Temporary sensitivity
These typically settle within a few days. Maintaining good oral hygiene during healing is essential.
Dental Implant Failure
Dental implants are widely regarded as a predictable and successful treatment. In a small number of cases, however, an implant may not integrate properly or may lose stability over time. Understanding how failure can occur and what.
When Can Implant Failure Happen?
Early Failure (During Healing)
- Happens within the first few months.
- Occurs if the implant does not bond properly with the jawbone.
- The implant may become loose.
Late Failure (After Healing)
- Can occur months or years later.
- Often linked to gum infection around the implant.
- The bone around the implant may gradually reduce.
What Increases the Risk of Failure?
Risk is higher in cases of:
- Smoking
- Poor oral hygiene
- Uncontrolled diabetes
- Heavy teeth grinding or clenching
Good daily cleaning and regular dental reviews reduce the likelihood of complications.
Are Dental Implants Safe?
This is a common concern before deciding on treatment. For most healthy adults, dental implants are considered safe and have been used in dentistry for many years.
Can the Body Reject a Dental Implant?
Dental implants are usually made from titanium. Titanium is widely used in medical treatments because it is generally well accepted by the body. Rejection is rare. The implant bonds with the jawbone during healing, which helps it stay secure.
Are There Situations Where Implants May Not Be Suitable?
Dental implants may not be appropriate if there is:
- Active gum disease
- Severe uncontrolled medical conditions
- Heavy smoking
- Very poor bone support
These factors can affect healing and long-term stability.
How is Safety Checked?
Before treatment, a dental assessment is carried out to check:
- Overall oral health
- Bone condition
- Medical history
This determines whether implants are a suitable option.
Pros and Cons of Dental Implants
Dental implants offer significant advantages, but they are not the right choice for everyone. Understanding both the benefits and the potential limitations allows you to weigh up whether this treatment aligns with your needs, expectations and long-term goals.
Advantages
- Designed for long-term tooth replacement
- Stable while eating and speaking
- Help preserve jawbone structure
- Do not rely on neighbouring teeth
The benefits of dental implants improve daily comfort, confidence, and function through real patient experiences.
Disadvantages
- Surgical procedure required
- Healing period necessary
- Higher initial cost compared to dentures
A deeper breakdown is available here:- detailed pros and cons of dental implants (Pros & Cons Blog)
How Much do Dental Implants Cost in the UK?
If you are considering dental implants, the first thing you likely want to know is the cost — and what that price actually includes.
In the UK, the cost varies depending on how many teeth need replacing and whether any additional treatment is required before the implant can be placed.
Single Implant (Including Crown)
From £3,100
This typically includes:
- The implant placed in the jawbone
- The connecting abutment
- The final crown (the visible tooth)
A personalised assessment will confirm your exact treatment needs and total cost.
Multiple Implants
Quotation provided following consultation-
The cost depends on:
- The number of teeth being replaced
- The type of restoration required
- Overall case complexity
A clinical examination is required to provide an accurate figure.
Additional Procedures (If Required)
In some cases, preparatory treatment may be necessary before implant placement.
- Sinus Lift: from £2,000
- Bone Graft: from £850
These procedures are only recommended where additional bone support is needed.
Are Dental Implants Available on the NHS?
In the UK, dental implants are usually provided privately. NHS funding is limited and generally only available in specific clinical circumstances, such as:
- Severe trauma
- Oral cancer treatment
- Certain medical conditions affecting tooth development
Eligibility is assessed on an individual basis. Further information:—— dental implants on the NHS cost and eligibility (NHS Blog)
Before and After Dental Implants
If you are considering dental implants, you may be wondering what difference they would actually make. The comparison below shows how everyday life can change before and after treatment.

| What Matters to You | Before Dental Implants | After Dental Implants |
| Smile Appearance | Visible gaps or missing teeth | Gaps replaced with natural-looking teeth |
| Uneven smile | More balanced, complete smile | – |
| Hesitation when smiling | Greater confidence when smiling | – |
| Stability | Loose dentures or shifting teeth | Fixed, stable teeth |
| Movement when eating or speaking | No movement during daily activities | – |
| Eating | Avoiding certain foods | Able to enjoy a wider range of foods |
| Uneven chewing | Improved bite balance | – |
| Speech | Possible changes in pronunciation | Clearer, more natural speech |
| Comfort | Rubbing or pressure from dentures | Secure fit integrated within the jaw |
| Jawbone Health | Gradual bone shrinkage over time | Bone stimulation that helps maintain structure |
| Confidence | Feeling self-conscious socially | Feeling more relaxed in social situations |
Are Dental Implants Right for You?
This is one of the most common questions patients ask. The honest answer is: it depends on your oral health, general health, and what you would like to achieve from treatment. Below is a simple breakdown to help you understand where you may stand.
You May Be a Suitable Candidate If
- You have one or more missing teeth
- Your gums are healthy and free from active infection
- You have sufficient jawbone to support an implant
- You do not smoke heavily, or you are willing to reduce or stop
- You are looking for a long-term, fixed alternative to dentures or bridges
Dental implants work best when the surrounding bone and gum tissue are strong enough to support them securely.
You May Need Additional Treatment If
- Your teeth have been missing for many years
- There has been some bone shrinkage in the jaw
- You have a history of advanced gum disease
- You have medical conditions that affect healing, such as uncontrolled diabetes
- You take certain medications that influence bone or immune response
In these situations, preparatory treatments such as bone grafting or gum therapy may be recommended before implant placement.
Who Might Not Be Suitable?
- Patients with untreated, severe gum disease
- Heavy smokers who are unwilling to reduce
- Individuals with serious uncontrolled medical conditions that significantly affect healing
However, many patients who initially assume they are not suitable are often eligible after proper assessment and treatment planning.
Ready to Stop Living with Missing Teeth?
Delaying treatment can sometimes lead to further bone loss and added complexity. Understanding your options now can make a meaningful difference. A detailed clinical assessment will clarify your suitability and outline the most appropriate solution. Arrange your consultation now and take control of your smile with confidence.
Frequently Asked Questions
1. How long do dental implants last?
Dental implants are designed to be a long-term solution. With good oral hygiene and regular dental reviews, the implant itself can last many years. The visible crown attached to the implant may require replacement over time due to normal wear.
2. Can smokers have dental implants?
Smoking increases the risk of implant failure and healing complications. Implants may still be possible in some cases, but risks are discussed individually during assessment.
3. Are dental implants suitable for older adults?
Age alone does not prevent implant treatment. Overall health and bone condition are more important factors than age itself.