Tr

Dental Implants to Restore Your Smile

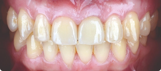
No more gaps or loose dentures. Just custom-crafted, securely anchored teeth that look, feel, and function entirely like your own. 

0% INTEREST-FREE FINANCE AVAILABLE

Procedure Overview

Procedure Time
Procedure Time
From 3–4 months
Recuperation Time
Instant
A few days
Implant
20k
Implants Placed

We’ve helped thousands restore their smiles with permanent dental implants.

About Dental Implants

Dental implants are the gold standard for replacing missing or badly damaged teeth. Acting as artificial tooth roots, these biocompatible titanium posts are securely placed into your jawbone. Through a natural biological process called osseointegration, the implant permanently fuses with your bone, providing an incredibly strong anchor for a custom-made crown or bridge.

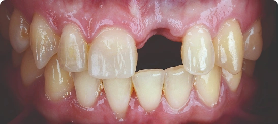
Unlike traditional dentures, implants prevent jawbone deterioration and never slip or click when you speak or eat. While the implant heals over three to four months, we provide comfortable temporary teeth so you are never left with a gap in your smile.

At Perfect Smile, our life-changing dental implant treatments are available across our clinics in London, Surrey, Manchester, and Liverpool. Book your consultation today.

Contact Our Team
Implants 1 Implants2 1

Implant Expertise Clinically Driven Results

When it comes to surgically restoring your smile, clinical experience and precision are paramount. Perfect Smile has been a trusted leader in restorative dentistry since 2004, successfully placing over 20,000 dental implants. Placing over 50 new implants every week, our highly skilled implantologists deliver expert, fully customised care to every single patient.

Our dedicated team is equipped to handle everything from a single missing tooth to complex, full-mouth restorations. Using state-of-the-art 3D imaging and advanced surgical techniques, we ensure your implant placement is impeccably planned, safe, and highly predictable for a lifetime of confident smiles.

By combining industry-leading implant technology, decades of established surgical expertise, and highly flexible 0% APR finance options, Perfect Smile makes permanently restoring your teeth accessible, affordable, and stress-free.

Restoring Smiles at Scale

20,000+ implants placed across our clinics, giving us extensive hands-on experience.
Planned properly from the start to deliver results that hold up long after treatment.

Rectangle 4938
Fareed Khan
Fareed Khan

GDC: 70723

View profile
Jessica Baxter-Brown
Jessica Baxter-Brown

GDC: 290094

View profile
Gavin Lawrence
Gavin Lawrence

GDC: 244750

View profile
Shahrzad Jeffery
Shahrzad Jeffery

GDC: 193046

View profile
Martin Stewart
Martin Stewart

GDC:193034

View profile
Eric Battista
Eric Battista

GDC: 249546

View profile
Rujuta Deshpande
Rujuta Deshpande

GDC: 174999

View profile
Nathalia Jordao
Nathalia Jordao

GDC: 287176

View profile
Ioannis Gonianakis
Ioannis Gonianakis

GDC: 240429

View profile
Mohammed Al-Nuaimi
Mohammed Al-Nuaimi

GDC: 274879

View profile
Mahmoud Samaha
Mahmoud Samaha

GDC: 276804

View profile
Suneil Amin
Suneil Amin

GDC: 177837

View profile
Faisal Satter
Faisal Satter

GDC: 100061

View profile

Implant Costs What To Expect

Every implant treatment at Perfect Smile is planned around your individual clinical needs, ensuring the right approach for long-term stability, function, and aesthetics.

Single Tooth Implant
from £2,100
The ideal, permanent replacement for an individual missing tooth, complete with a custom-matched crown.

Implant-Supported Bridge
Bespoke Pricing
A secure, fixed solution for replacing multiple missing teeth in a row using strategically placed implants.

Full Mouth Implants
Bespoke Pricing
A comprehensive, life-changing treatment to replace an entire arch of failing or missing teeth permanently.

Consultation
Free at some locations
A detailed assessment to evaluate your suitability and discuss the most appropriate treatment options.

Payment Options

You can spread the cost of your implant treatment with 0% interest-free finance for up to 12 months. If you prefer lower monthly payments, extended plans of up to 5 years are also available at a low interest rate. Monthly payments will vary depending on your treatment plan and finance option, with all details explained clearly during your consultation.

Finance Calculator
Rectangle 4939

Before and After See the Difference

 before  after
 before  after
 before  after
 before  after
 before  after

Real Smiles True Implant Stories

"My teeth look incredible! Confidence is sky high, I’m able to smile again in public and can’t thank the implantologist enough at Perfect Smile. For anyone considering implants, these are the go to people!"

– Sarah, Acton
★ ★ ★ ★ ★

"Had my implants at Perfect Smile... one of my better decisions! Although apprehensive to start, I was soon made comfortable and treated as an individual at every step of the procedures. The aftercare service was impeccable."

– Jim, Chester
★ ★ ★ ★ ★

"I would highly recommend Perfect Smile Dental Practice in Vicars Cross. I had my Dental Implants done by Shahrzad and her team and I am totally delighted with the end result. It has given me back my confidence. The whole experience was pain free and Shahrzad and her Team were lovely at every visit and put me totally at ease. It has changed my life for the better."

– Jacqueline Roddy, Chester
★ ★ ★ ★ ★
White curve

Implant Timeline What to Expect

While the actual placement surgery for a single implant can take as little as 30 minutes, patience is required for the crucial healing phase.

  • Initial Placement: The titanium implant is securely placed into your jaw. Temporary teeth are provided immediately, so you never have a visible gap.
  • Healing Phase (3–4 Months): The implant undergoes osseointegration, fusing strongly with your natural jawbone to create a permanent, stable anchor.
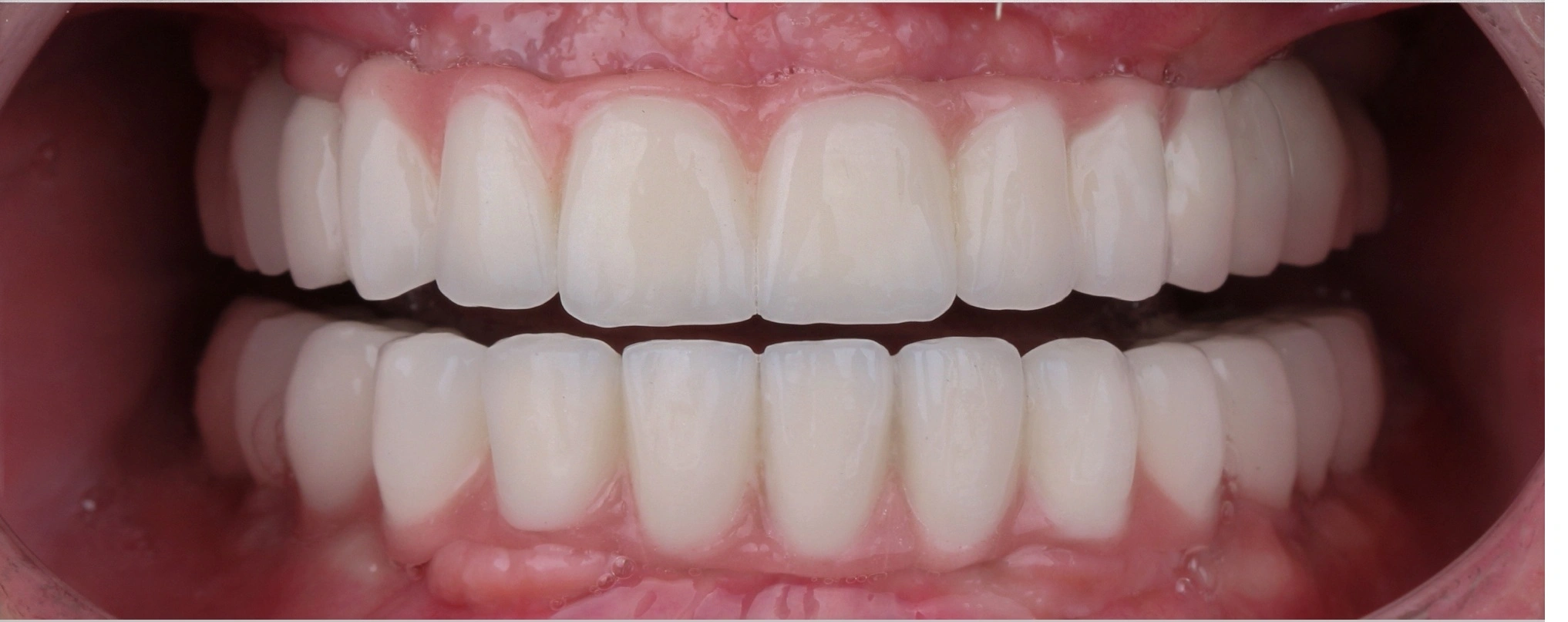
  • Final Restoration: Once fully healed, your custom-crafted, permanent crown or bridge is securely attached, completing your new smile for a lifetime.

Following your final restoration, we provide detailed aftercare guidance to help you maintain your implant long-term. With good oral hygiene and regular check-ups, dental implants are designed to last for many years, supporting both function and overall oral health.

Why Choose Perfect Smile for Implants

  • Over 20K+ implants placed
  • Established in 2004
  • Free initial implant consultations*
  • Flexible 0% finance plans
  • 50 new cases weekly
  • Multiple specialist UK locations

Benefits of Dental Implants

  • Designed to last a lifetime with proper maintenance
  • Custom-crafted to seamlessly match your existing teeth
  • Stimulates bone density and prevents facial sagging
  • Eat your favourite hard or sticky foods confidently
  • No need to grind down healthy neighbouring teeth
Photo 1489278353717 f64c6ee8a4d2 8

How Implants Work Your Steps to a Restored Smile

Step 1
Fi 15756405

Consultation

Meet our implant specialist to assess your jawbone health and discuss your bespoke smile restoration goals.

Consultation DI
Step 2
Fi 9249756

3D Scanning

We take highly detailed 3D CT scans to map your bone structure and perfectly plan the placement.

Step 2
Step 3
Fi 1971503

Implant Placement

The titanium root is gently and precisely inserted into your jawbone during a minor surgical procedure.

Implant Placement DI
Step 4
Fi 5914941

Temporary Teeth

We immediately fit comfortable temporary teeth, ensuring you never leave the clinic with an embarrassing gap.

Temporary Teeth DI
Step 5
Fi 2441072

Healing (Osseointegration)

Over 3 to 4 months, the titanium implant securely and naturally fuses with your jawbone.

Healing DI
Step 6
Fi 18076420

Final Fitting

Your beautifully crafted, permanent crown or bridge is attached, completing your flawless, fully functional smile.

Final Fitting DI

What’s happening at perfect smile...

@perfectsmilegroup Follow us on instagram

Frequently Asked Questions About Implants

Mask Group 5

No, you will never be asked to leave our clinic with a missing front tooth. While the titanium implant requires three to four months to fully fuse with your jawbone (a process called osseointegration), we will provide you with a discreet, temporary tooth or bridge immediately after surgery so you can smile and interact with confidence during the healing phase.

The procedure is completely pain-free. We administer a highly targeted local anaesthetic to numb the entire surgical site before we begin. Because jawbone tissue actually contains very few pain-sensing nerves, most of our patients report feeling nothing more than a mild pressure during the 30-minute placement.

There is absolutely no upper age limit. While patients can be too young (as the jawbone must be fully developed before placement), older adults make excellent candidates. Your suitability is determined entirely by your general health, bone density, and gum condition, not your age.

Implants are the only restorative treatment that actively stimulates your jawbone. When you lose a tooth, the lack of chewing pressure causes the underlying bone to shrink and resorb, which eventually leads to a sunken, prematurely aged facial appearance. The biocompatible titanium root mimics a natural tooth, preserving your bone structure and maintaining your facial contours.

No, you can confidently return to your normal diet. During the initial six-month healing period, you must stick to softer foods to avoid disrupting the delicate bone fusion process. However, once the permanent porcelain crown is securely fitted, your implant functions exactly like a natural tooth, allowing you to bite into apples or chew steak without hesitation.

Yes, you can spread the cost of your implant treatment with 0% interest-free finance for up to 12 months. If you prefer lower monthly payments, longer-term plans are available for up to 5 years at a low interest rate. This allows you to begin treatment without paying the full amount upfront, with payments tailored to your treatment plan and preferences.

Keep Up to Date Latest News

Read more updates

Are Dental Implants Available on the NHS?

Dental implants are a great alternative to false teeth and can dramatically change your appearance and smile. Long recognised as one of the most effective…

Dentures and dental implants – which are right for you?

Missing teeth don’t just harm your self-image, but can also damage your remaining teeth, impair your speech and lead to bone loss. Thanks to modern…

How Much Are Dental Implants?

No matter how good your oral hygiene is, unfortunate circumstances may lead to you losing one or more of your teeth during your lifetime. Thankfully,…

Make an enquiry speak to our team.

Career 2